皆さんこんにちは♪
最近歯を白くしたい!と来院される患者さんが増えています。
当院では、歯科医院で行うオフィスホワイトニングとお家で行うホームホワイトニングの2種類があります。

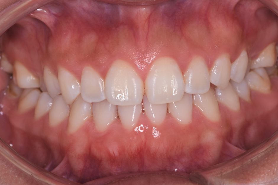
オフィスホワイトニングを3回行った写真です。
短期間で歯を白くすることができます(^^)

ホームホワイトニングを1ヶ月半行った写真です。
オフィスホワイトニングに比べて時間はかかりますが、白さがより長持ちします(^^)
結婚式を間近に控えている方や歯を白く綺麗にしたい方、ご相談は無料で承っておりますのでお気軽にお電話下さい♪
tel:052-581-1051






