こんにちは!!
今回は特殊なホワイトニングについてのご紹介です。
「ウォーキングブリーチ法」というホワイトニングはご存じでしょうか?
虫歯が神経に到達してしまい神経を抜いたことがある方、前歯をぶつけたことのある方、歯が変色してきた!なんてお悩みはないでしょうか?
そこでおすすめしたいのが「ウォーキングブリーチ法」です。
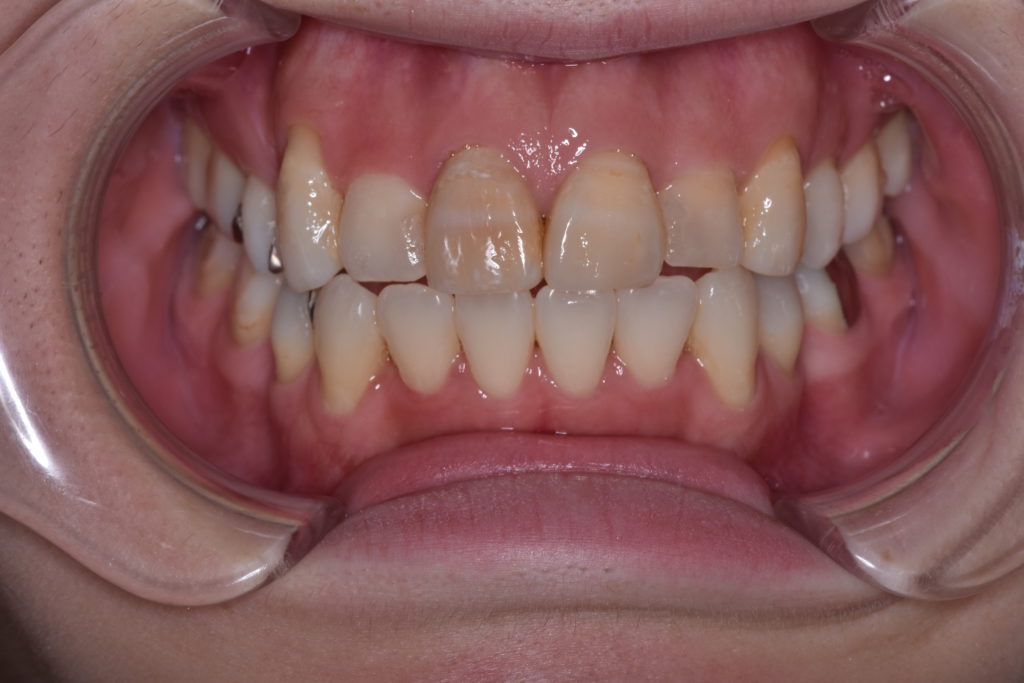
このお写真をご覧下さい

ホワイトニング前のお写真です。
皆様から見て左側の1番目の歯が変色してきているのがおわかりでしょうか?
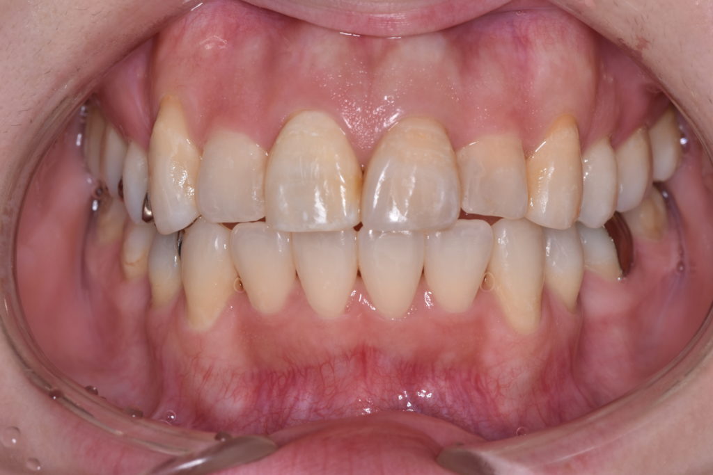
そしてこちらがウォーキングブリーチ法でのホワイトニング後のお写真です。

自然な仕上がりになりました!!
歯1本の色味が違うだけで歯全体のイメージが変わってきますね。
1本3万というお値段ですが何回繰り返してもこのお値段なのでお得です!!
気になる方、まずは無料カウンセリングからご予約お待ちしております(^^)
いつでもご相談下さい★!






