皆様こんにちは♪
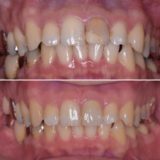
先日木下ミシェルちゃんが、インビザラインの調整に来て下さいました(*^_^*)
とっても可愛いです(>_<)!!
この写真は少し遠いですが、インビザラインは透明なマウスピースをはめて矯正するため、近くでもほとんど目立ちません!!
矯正したいけど、ばれたくない!
ワイヤーを付けるのに抵抗がある!
と、いう方にオススメです☆
矯正のご相談は無料で行っておりますので、お気軽にお問い合わせ下さいませ。
![]()
皆様こんにちは♪
先日木下ミシェルちゃんが、インビザラインの調整に来て下さいました(*^_^*)
とっても可愛いです(>_<)!!
この写真は少し遠いですが、インビザラインは透明なマウスピースをはめて矯正するため、近くでもほとんど目立ちません!!
矯正したいけど、ばれたくない!
ワイヤーを付けるのに抵抗がある!
と、いう方にオススメです☆
矯正のご相談は無料で行っておりますので、お気軽にお問い合わせ下さいませ。