皆さまこんにちは。
名駅アール歯科・矯正歯科でございます🌱
今日は矯正の後戻りについてお話し致します😊
矯正が終わって歯並びが綺麗になった! やっと終わった!!
と思って油断している方いませんか???
綺麗になった歯はそのままにしておくと後戻りでまたガタついて来てしまいます😱!!
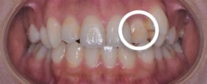
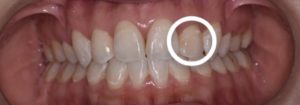
半年前に矯正が終わりました。
最初の方はリテーナーを長時間使わないと、歯が動いてしまい、リテーナーを付け外しする度に痛みがありました。
時間がたって少しずつ安定してくると痛みが減ってきます。。
なので、しっかりリテーナーを使っているつもりでも、月日が経つと厳かになってしまいます💫


元々後ろにあった歯が少しだけ後ろに戻ってしまいました💥
歯並びが綺麗になった分、余計気になってしまいます😧💥
小さい頃に矯正をしていて、リテーナーをしっかりと使っていなかったばかりに、大人になってからまた矯正を始める。そんな患者様は少なくありません🗣
お金もまたかかって来てしまいます😞
そうならないためにも、最低でも1年間はしっかり22時間から23時間(食事、間食、歯磨き以外の時間)はリテーナーをはめるように心がけましょう💋!
一緒に頑張っていきましょう!!
名駅アール歯科・矯正歯科では、矯正が終了致しましたら、後戻りをしていないか、虫歯、歯周病になっていないかをしっかりと診させて頂くため、
三ヶ月ごとの定期検診で通っていただいております。
当院で矯正されている患者様はリテーナーを購入することも可能ですが、定期検診に通って頂ければ無料でリテーナーをお渡ししております。
ですので衛生面なども考えると綺麗に使って頂けますし、虫歯、歯周病の早期発見も可能です☆☆☆
ご質問等ございましたらお気軽にお問い合わせ下さいませ。
名古屋駅直結 徒歩1分 名駅アール歯科・矯正歯科について
あなたの歯並びを適正価格で美しく☆
最先端の技術力と確かな診断力でお口の中から綺麗のお手伝い。
話題の見えない矯正器具 見えにくい矯正器具を使用します。
表側矯正歯科(スーパークリア) 裏側矯正歯科(フルリンガルシステム ハーフンガルシステム)
マウスピース矯正歯科(インビザラインフル インビザラインライト インビザラインティーン)
スピード矯正歯科(オーソパルス コルチコトミー ヘミオステオトミー)
ハイクオリティ治療+多くの選択肢のある矯正歯科治療を☆
重篤症例や歯の無い方にもセラミック矯正歯科やインプラント治療も加えて+αのご提案を☆
また、それぞれのシーンに合わせてブライダル矯正歯科 あなたの婚活矯正歯科
成人式用矯正歯科 スピード矯正歯科治療にてあなたの要望にお応えします。
スーパースマイルへ
ホームホワイトニング オフィスホワイトニング デュアルホワイトニング
ラシャスリップ 歯周外科治療 インプラント 多くの技術を提供致します。
名古屋駅 名古屋市中村区 中区 金山 一宮市 稲沢市 岐阜市 多治見市 豊田市
知多市 岡崎市 豊橋市 蒲郡市 四日市市 知多市 岡崎市 豊橋市など
各近隣都市からも好アクセスの名古屋矯正歯科 セラミック歯科 インプラント治療は名駅アール歯科・矯正歯科へ
名古屋駅から徒歩1分 伏見駅より10分 ミットランドスクエア裏
住所:〒〒450-0002
愛知県名古屋市中村区 名駅4丁目10-25 IMAIビル11F
TEL:052-581-1051
instagram:https://www.instagram.com/meieki_r_shika
E-mail:meieki.rdental@gmail.com
URL:https://www.meieki-rdental.com/
LINEからもご連絡頂けます。






