みなさまこんにちは(^o^)
名駅アール歯科・矯正歯科でございます。
本日は、転倒や事故などにより歯が欠けてしまったり、抜けてしまったときどういった処置をしていくのかをご紹介いたします。
歯が欠けた(破折)
転んだり衝突により強い衝撃を受けると、歯が欠けてしまいます。
1.欠け方が部分的で軽度な場合

痛みなどの症状は出にくく、歯の神経(歯髄)や歯周組織への影響も少ないことが多いのですが、欠けたところから歯髄が感染を起こしたり、歯肉が腫れる可能性や、あとで歯の変色やもあります。
緊急性はありませんが、歯医者さんで欠けた所を詰めて形を整えたり、被せ物をしたりという処置をするとともに、しばらくは経過をみていく必要があります。
2.歯が欠けて歯髄まで達するような重度の場合
炎症が起きて痛みが強くでたり、歯肉が腫れることがが多いため、早めの処置が必要です。
歯髄までは出ていないが、歯髄近くまで欠けてしまい放置すると歯髄感染を起こす可能性がある場合や、歯が欠けたときに歯髄が出てしまった場合は神経の処置を行う必要があります。
歯髄の処置を行った後は、最終的に歯を元の形に修復します。

永久歯でも神経の処置をした後は経過をみていく必要がありますが、乳歯の場合は次の永久歯に生え替わるまで、定期的にチェックをしていくことが望まれます(^o^)!
歯がグラグラになった(動揺、歯根の破折)
歯が動揺するのは、歯を支える骨の部分がダメージを受けたときに起こりやすいのですが、歯の根っこが折れた(歯根破折)場合にもグラグラになります。
まずはエックス線写真を撮影し、歯の根っこの状態(歯根破折の有無)や、周りの骨の状態(歯槽骨骨折の有無)を確認する必要があります。
1.動揺が軽度な場合
受傷した歯をできるだけ安静にして経過観察をします。
2.明らかな動揺がみられる場合
両隣の歯と歯を固定して安静を図ります。
また、頻度は少ないのですが、歯根の破折や歯槽骨骨折で歯が動揺している場合は、受傷した歯が保存できるかどうかを診断する必要があります。
保存が可能と判断された場合は、固定処置を行って様子をみます。
3.歯根破折

歯だけの動揺の場合は1~2週間の固定ですみますが、歯根破折や骨折のときは少し長めに(2か月程度)固定をします。
歯肉近くで根っこが折れていたり、根っこが斜めに折れている場合などは、残念ですが抜歯になる可能性もあります。
めり込んだ、歯の位置がずれた(陥入、転位)
治療としては、歯を元の位置に戻し(整復)、両脇の歯を固定して安静を図り、歯の周りの組織の回復を待ちます。
一方、低年齢児の乳歯や生えたての永久歯がめり込んだ場合は、歯根がまだ未完成なため自力で再び生えてくることが期待できるので、無理に元の位置まで戻さずに様子をみることが多いです。
また、めり込んだり、乳歯の位置がずれることで、乳歯の下で育っている永久歯に影響が出ることもあります。

永久歯の生える方向・歯の形・色などに影響が出る可能性があるので、永久歯への生え替わりまで定期的にチェック(エックス線検査を含めて)を受けることが望まれ
歯が抜けてしまった場合、歯が抜け落ちた場合
・受傷から歯医者さんを受診するまでの時間が短い
・歯の周りの組織の損傷が軽度
・脱落した歯の保存状態がよい
など、条件がよければ再植することができますし、再植の予後も良好になることが期待されます。
かみ合わせを確認しながら、脱落した歯を元の位置に戻して固定を行います。(固定は通常2~6週間くらい行います)
歯肉からの出血が多い場合は縫合を行い、止血を図ります。
従来、乳歯は原則として再植は行わなかったのですが、最近では限られた条件の中で再植が試みられています。
脱落した歯がなくなってしまったり、再植が困難だったり、歯根の破折で抜歯になったりと、外傷で歯がなくなった場合も対処が必要になります。
歯の外傷はおもに上の前歯に起こりやすいので、見た目も悪くなり、また発音や食べることに影響がでます。
永久歯では一般的に入れ歯、ブリッジ、インプラントなどの治療法があげられ、歯並び・かみ合わせやその他の状況に合わせて適当な治療法を選ぶことになります。
一方、乳歯や学齢期に永久歯がなくなった場合は、次の永久歯が生えるまで、または顎の成長が止まるまでは、調節のしやすい入れ歯タイプの装置を使うことが多いです。
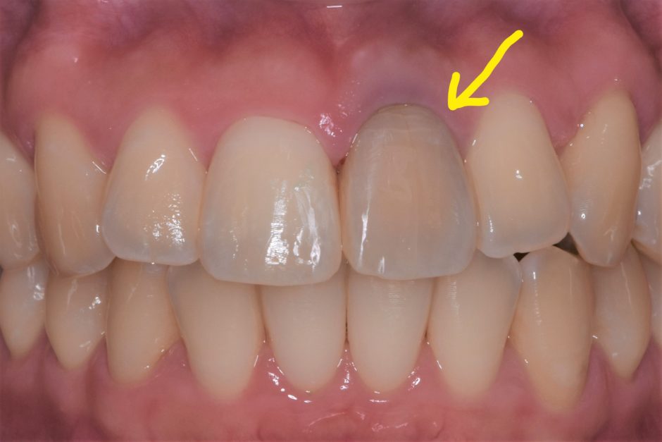
歯ぶつけたあと、歯の色が変色することがあります。歯が変色した、歯肉が腫れてきた(変色、歯肉の腫れ)
1.赤みをおびた変色

受傷してすぐに 起こりやすい赤みをおびた変色は、神経(歯髄)の中の血管が損傷して充血や内出血を生じたものと考えられ、充血が治れば歯の色も回復することがあります。
2.黒ずんだ変色

数か月して徐々に歯の色が黒ずんでくる場合は、神経(歯髄)が死んでいる可能性が高くなります。
さらに色が悪くなったり、根の周囲に病気ができて歯肉が腫れてくることもあります。エックス線写真などで定期的に観察していれば、根の周囲の病気を早く発見して、根の治療を行うことができます。 根の周囲の病気が大きくなってからですと、歯を保存することが難しくなります。
軽度でも早めに治療をされることをオススメいたします!
ご不明な点がございましたらいつでもお問い合わせお待ちしております。
名古屋駅直結 徒歩1分 名駅アール歯科・矯正歯科について
話題の見えない矯正器具 見えにくい矯正器具を使用します。
表側矯正歯科(スーパークリア) 裏側矯正歯科(フルリンガルシステム ハーフンガルシステム)
マウスピース矯正歯科(インビザラインフル インビザラインライト インビザラインティーン)
スピード矯正歯科(オーソパルス コルチコトミー ヘミオステオトミー)
ハイクオリティ治療+多くの選択肢のある矯正歯科治療を☆
重篤症例や歯の無い方にもセラミック矯正歯科やインプラント治療も加えて+αのご提案を☆
また、それぞれのシーンに合わせてブライダル矯正歯科 あなたの婚活矯正歯科
成人式用矯正歯科 スピード矯正歯科治療にてあなたの要望にお応えします。
ホームホワイトニング オフィスホワイトニング デュアルホワイトニング
ラシャスリップ 歯周外科治療 インプラント 多くの技術を提供致します。
名古屋駅 名古屋市中村区 中区 金山 一宮市 稲沢市 岐阜市 多治見市 豊田市
知多市 岡崎市 豊橋市 蒲郡市 四日市市 知多市 岡崎市 豊橋市など
各近隣都市からも好アクセスの名古屋矯正歯科 セラミック歯科 インプラント治療は名駅アール歯科・矯正歯科へ
名古屋駅から徒歩1分 伏見駅より10分 ミットランドスクエア裏
住所:〒〒450-0002
愛知県名古屋市中村区 名駅4丁目10-25 IMAIビル11F
TEL:052-581-1051
instagram:https://www.instagram.com/meieki_r_shika
E-mail:meieki.rdental@gmail.com
URL:https://www.meieki-rdental.com/
LINEからもご連絡頂けます。







