口の中の凹凸

こんにちは。

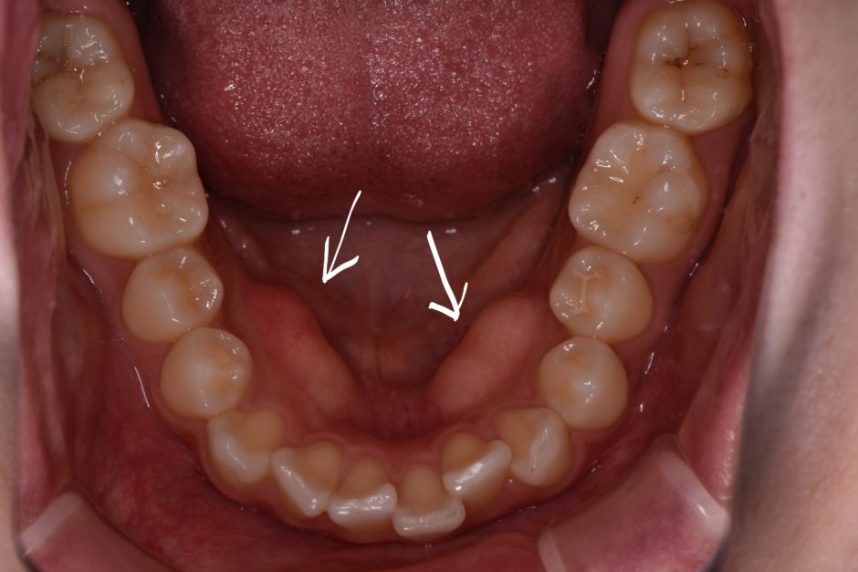
お口の中を観察してみて下さい。 歯の裏側(舌側)や上顎中央部にぼこっとした凹凸のようなものはありますか?

この凹凸のようなものを骨隆起と言います。漢字の通り骨が発達して盛り上がっているもののことです。

別名、外骨症(がいこつしょう)、外発性骨増生(がこはつせいこつぞうせい)とも言われ、上あごにできる骨隆起を「口蓋隆起(こうがいりゅうき)」、下あごにできるものを「下顎隆起(かがくりゅうき)」といいます。
骨隆起は、ある日突然に出来るものではありません。
何年も時間をかけて、ゆっくりゆっくり大きくなっていくのが特徴で、若い人よりも年を取るに従って、骨隆起になる人が多くなります。
もちろん、骨隆起にならないもしくは少ない人もみえます。

原因ははっきりと解明されていませんが、遺伝によるものとか、噛み合わせる力によって骨が反応して膨らんできたものとか、慢性炎症による反応などによって発生したものなどと考えられています。
骨隆起自体に、あまり自覚症状はありませんので、歯科を受診した際に、指摘を受けて骨隆起の存在を知ることが多いようです。 指摘後に初めて指や舌で触ってみると、どことなく骨の凸凹に違和感を覚え始めるみたいです。
骨隆起が発達することにより、「身体に害があるのでは?」と思われるかもしれませんが、骨隆起そのものは、あごの骨の形が変化したものなので、体に対して害は全くありません
ただ、骨が隆起している部分の歯グキが薄いため、その部分に堅い食物が当たったり、歯ブラシを強く当てたりすると傷を作ってしまい、歯ブラシがうまく歯に当てられないため、清掃がやり難く、歯周病の原因になったりします。

また、上あごの真ん中に出来る骨隆起は、大きくなると発音障害が現れたり、食事がとりにくくなったります。
入れ歯を装着されている方(もしくは、ものを食べるときなどに入れ歯の「あご」の部分が骨隆起に当たって、それが痛みの原因になったりします。

骨隆起が気になる、義歯を作る時に支障がある場合、また骨隆起が原因で他に症状がでる場合などは、歯グキを開いて、外科的に骨隆起を削る(削除する)こともあります。
但し、一度骨隆起を削ったからといって、再び骨隆起にならないという訳ではありません。 再発する可能性もあるのです。

また、それ以上骨隆起が大きくならないために、食いしばり防止のマウスピースを作成し、夜間のみつけていただく、という方法もございます。

 

放っておいても支障はないですが、もし痛みなど出てきましたらご相談下さいませ。

 

名古屋駅直結 徒歩1分 名駅アール歯科・矯正歯科について

話題の見えない矯正器具 見えにくい矯正器具を使用します。
表側矯正歯科(スーパークリア) 裏側矯正歯科(フルリンガルシステム ハーフンガルシステム)
マウスピース矯正歯科(インビザラインフル インビザラインライト インビザラインティーン)
スピード矯正歯科(オーソパルス コルチコトミー ヘミオステオトミー)

歯の無い方にもセラミック矯正歯科やインプラント治療も加えて+αのご提案を☆
また、それぞれのシーンに合わせてブライダル矯正歯科 あなたの婚活矯正歯科
成人式用矯正歯科 スピード矯正歯科治療にてあなたの要望にお応えします。

ホームホワイトニング オフィスホワイトニング デュアルホワイトニング
ラシャスリップ 歯周外科治療 インプラント 多くの技術を提供致します。

名古屋駅 名古屋市中村区
各近隣都市からも好アクセスの名古屋矯正歯科 セラミック歯科 インプラント治療は名駅アール歯科・矯正歯科へ

名古屋駅から徒歩1分 伏見駅より10分 ミットランドスクエア裏
住所:〒〒450-0002
愛知県名古屋市中村区 名駅4丁目10-25 IMAIビル11F
TEL:052-581-1051
instagram:https://www.instagram.com/meieki_r_shika
E-mail:meieki.rdental@gmail.com
URL:https://www.meieki-rdental.com/
LINEからもご連絡頂けます。