こんにちは。ホワイトニングについて変更がありますので、ご紹介いたします。
新年からホワイトニングのお薬が新しくなりまして、それに伴いお値段の変更もございます。
従来までは1歯500円、16歯8,000円でオフィスホワイトニングをご提供しておりましたが、
より白く綺麗になるようホワイトニングのお薬と機械を変更しましたので、お値段上がります。
1回のオフィスホワイトニングが16歯10,000円での施術になりました!!
ホワイトニングコース
16歯 NEWパールコース オフィスホワイトニング3回 24,000円 → 22,000円 → 28,000円
ゴールドコース ホームホワイトニング1回
オフィスホワイトニング1回 33,000円 → 30,000円 → 32,000円
パーフェクトコース ホームホワイトニング1回
オフィスホワイトニング3回 49,000円 → 44,000円 → 50,000円
少し高くなりますが、それだけ効果も期待できると思って頂きたいです。(個人差がございます。)
ティオンオフィスホワイトニング
オフィスホワイトニングはその日のうちにホワイトニング効果が求められるため、高い過酸化水素濃度のホワイトニング材を用いる必要がありますが、濃度が高くなればなるほど知覚過敏など有害事象発生のリスクも高まります。
ティオン オフィスは新技術「可視光応答型光触媒V-CAT(TiO2-xNx)」の応用により、比較的低い過酸化水素濃度での高いホワイトニング効果と低刺激性を両立させた新しいオフィスホワイトニング材です。
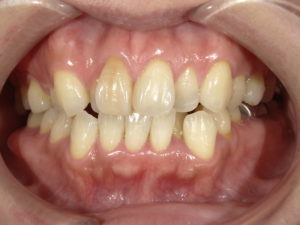
下の写真はオフィスホワイトニングを一回行った方の口腔内写真です。一回でかなり白くなりました。


また詳しくは無料カウンセリングでお話させて頂きます。お問い合わせ下さいませ!!







