名駅アール歯科です。
ガムピーリングとは何かご存じですか❓
その名の通り、ガム:gum(歯ぐき、歯肉) を ピーリング(古い皮膚の表面をはぎ取り、新しい皮膚を形成) させる事です。
最近、美容でもピーリングが流行っておりますが、歯ぐきもピーリングすることができます( *´艸`)
そもそもなぜ歯ぐきが黒くなるのか・・・
原因として、紫外線、口呼吸、歯周病、喫煙・受動喫煙、メタルタトゥーなどが挙げられます。
当院では、ケミカルピーリングの方法で行っております!!
≪適応≫
・喫煙によって歯ぐきの色が悪くなった
・長期間、紫外線にさらされた
・口呼吸が習慣化
≪不適応≫
・歯周病などによる歯ぐきの炎症がある
・妊娠中の方
・保護者の同意が得られない18歳未満の方
・アルコールやフェノール類にアレルギーがある
※メタルタトゥーもケミカルピーリングでは変化が見込めないことが多いです。
≪手順≫
①洗浄・消毒を行います。
②痛みが少ないように表面麻酔を行います。
③フェノールを塗布します。
④アルコール剤による中和を行います。
⑤水洗して終わりです。
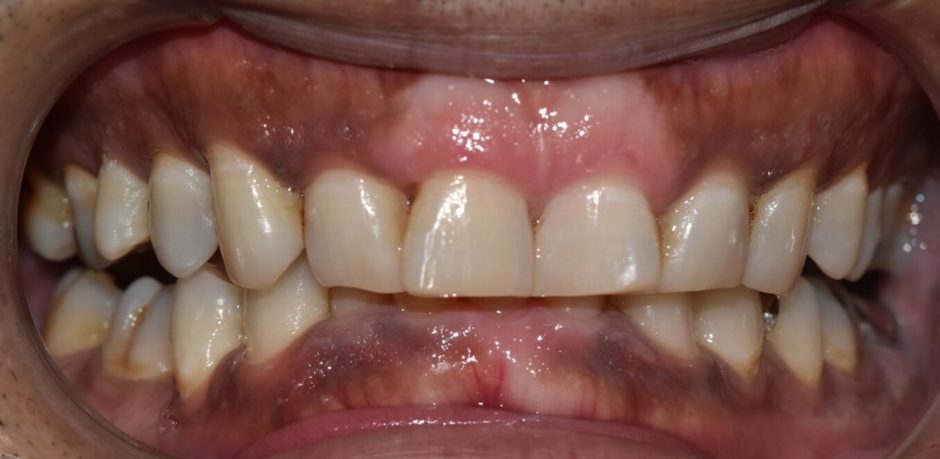
術前

術後直後 ※数日間は表面が白くなります。

術後2週間後

1回施術された方です✨(1回¥20,000+tax)
※1回で綺麗になる方もいますが、何回か必要な方もいます。
≪注意事項≫
・数日間は、歯ぐきのヒリヒリが続くことがあります
・治療後は刺激物の強い食べ物は控える
・歯ブラシで強くこすらない
・歯ぐきの表面の白い膜は無理にはがさない
・喫煙者は再沈着する可能性があります
~~~~~~~~~~~~~~~~~~~~~~~~~~~~~~~~~~~~~~~~~~~~~~~~~~~~~~~~~~~~~~~~~~~~~~~~~~~~~~~~~~~~~~~~~~~~~~~~~~~
名駅アール歯科・矯正歯科では、矯正治療も行っております。🦷
矯正治療を受けた方をご紹介していただいた方への嬉しい特典をご用意しております。
ご紹介患者様には商品券を、紹介で知力を受けられた方には矯正の検査料が半額になります。
お電話、メール、LINEでのお問い合わせが可能です。

LINEのお友達登録をしていただけると、お得な情報が届くかも!☺
インスタグラム、TikTokも行っておりますので、ぜひチェックしてみてください。
当院では、コロナ対策として来院時の検温、手指消毒にご協力を頂いております。
患者さん毎のチェアーの吹き上げも行っております。
~~~~~~~~~~~~~~~~~~~~~~~~~~~~~~~~~~~~~~~~~~~~~~~~~~~~~~~~~~~~~~~~~~~~~~~~~~~~~~~~~~~~~~~~~~~~~~~~~~~






