こんにちは。名駅アール歯科・矯正歯科でございます。
突然ですが、1990年頃までに虫歯治療をした記憶はございますか?

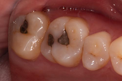
日本の歯科治療の主流は1990年ごろまでアマルガム充填でした。
水銀は米国での使用が一般化し、健康保険の適用材料として認定され日本でも広く使用されてきました。
アマルガムは「歯科用水銀アマルガム」の略で銀・スズ・銅・亜鉛の粉末と無機水銀(50%)の合金で、
歯科用の材料で虫歯を取り切った後に歯に詰める材料の事です。
実はこれ、身体に悪い可能性があります。
本日はそんなアマルガムについてお話していきますね。
アマルガムの特徴
・材料が安い
・治療への応用が簡単で治療費も安い
・鉛色に近い銀色の金属
・劣化し、腐食しやすい傾向がある
・水銀は25度を超えると沸騰し、熱い食べ物や飲み物によって、アマルガムに含まれている水銀は容易に気化する
体にどのような影響がある?
・歯としっかり接着していないので、小さな隙間が生じ、そこに汚れや細菌が入り込み、二次虫歯となる。
・水銀の金属イオンが溶け出し、歯を黒く変色させてしまう。
・人体にとって有害な「水銀」を使用しており、金属アレルギーの危険性が高い。
・アトピーのような皮膚の炎症が起こる可能性
・手のひらや足の裏などに掌蹠膿疱症という水泡状の湿疹が繰り返しあらわれる可能性
・蒸発した水銀の蒸気を吸い込むと、すぐに組織の中に吸収されて細胞膜を通って拡散する
↳ 水銀は、人体に有害な物質の中でも神経毒性の強い物質です。
全身にあらわれるさまざまな不快な症状、感覚異常・不眠・神経的なイライラ・頭痛・めまい・アレルギー・原因不明の痛み等は、
もしかしたらお口の中のアマルガムのせいかも。。。
・水銀は神経毒性の高い重金属でアルツハイマー型認知症や自閉症等の疾患との関連性が指摘されている
(実際、歯にアマルガム充填のある人、つまりアマルガムを歯の穴に詰めた人は、水銀の血中濃度が通常の6倍だったという報告もあります)
・妊娠しにくくなる。水銀が胎児や母乳にまで届く怖れがある
↳事実、1998年4月、イギリス厚生省は妊婦にアマルガムの詰め物をしないように警告を発しました。
医療先進国のスウェーデンでも、1987年に政府が同様の発表をしています。
水銀は、例えば昔の水銀体温計の水銀を誤って飲み込んだとしても消化器官からはほとんど吸収されないらしいのですが、
気化したものを吸い込むと簡単に蓄積されてしまうみたいです。
上に書いてあるように、25度以上で気化するので温かい飲み物や食べ物で容易に気化します。気化した水銀は厄介なのです。
日本の場合は使用禁止にはなっていないものの、2016年以降は保険適用から外されており、保険診療の歯科治療の現場では使われなくなっているのが現状です。
もちろん今すぐ症状が現れるわけではなく、中には自覚症状がない方もいます。
ですが、この内容を読んですこしでも怖いな、と思われましたら、
将来的な不安を取り除くためにも、アマルガムを除去し身体に害のない材料にやり替えることをお勧めいたします。
当医院ではアマルガム治療は一切使用しておりません。ご相談からでも可能です。
その他、気になることがあればお気軽にご連絡下さいませ。
~~~~~~~~~~~~~~~~~~~~~~~~~~~~~~~~~~~~~~~~~~~~~~~~~~~~~~~~~~~~~~~~~~~~~~~~~~~~~~~~~~~~~~
≪名古屋アール歯科・矯正歯科でのマウスピース矯正について≫
≪名古屋アール歯科・矯正歯科でのワイヤー矯正について≫
名古屋アール歯科・矯正歯科では、前歯部の矯正でも全体矯正でも患者さんの負担をなるべく少なくするために、基本的に追加のオプションの料金をいただいておりません。
矯正後はリテーナーを装着していただき、矯正後の後戻りを防ぎます。
3カ月ごとの健診に来ていただいた場合、新しいリテーナーを無料でお渡しします。
名古屋アール歯科・矯正歯科では、矯正相談を随時無料で行っています。
普段、お仕事や家事などで矯正の相談に行けないと多数のお声をいただいていたため
名古屋アール歯科・矯正歯科では日曜日の午前中に無料の矯正相談を行っていきます。
是非、矯正を少しでも考えている方はお気軽にご相談ください。
当院では患者様との連絡をしっかりと取っていくためにLINE登録をお願いしております。
お手数ですが、宜しくお願いします。

名古屋アール歯科・矯正歯科 歯科医師 古田
愛知学院歯学部卒業後、刈谷市の二村医院で臨床研修を行う。
その後3年二村医院にて臨床を行う。
2020年に医療法人清翔会に入社。
住所 〒450-0002 名古屋市中村区名駅4-10-25 IMAIビル11F
電話番号 052-581-1051
インスタグラム https://www.instagram.com/meieki_rdental_seishokai
清翔会公式YouTubeチャンネル https://www.youtube.com/channel/UCBMHkU2cvEppvq-Fj9wc3uQ
~~~~~~~~~~~~~~~~~~~~~~~~~~~~~~~~~~~~~~~~~~~~~~~~~~~~~~~~~~~~~~~~~~~~~~~~~~~~~~~~~~~~~~







