こんにちは。
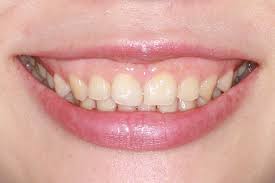
ガミースマイルが気になる…
歯が小さくて気になる…といったお悩みございませんか?
本日は歯肉整形術についてお話させていただきます。

歯肉整形術は歯に歯ぐきが大きく覆い被さっていることで歯が小さく短く見えている方に適した治療方法です。
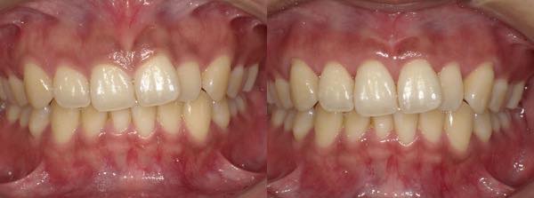
露出しているべき歯質部分に被さっている歯ぐきを切除して見える歯ぐきの面積を減らし歯の形の改善を行います。

↑左:歯肉整形術前 右:歯肉整形術後
※歯の健康を保つために必要な歯茎は残さなければいけないため適用できるケースが限られております。
患者様に寄り添いより良い治療を行っております。
一緒に理想の歯を手に入れましょう。
気になる方は是非一度ご相談くださいませ。






