皆様こんにちは!
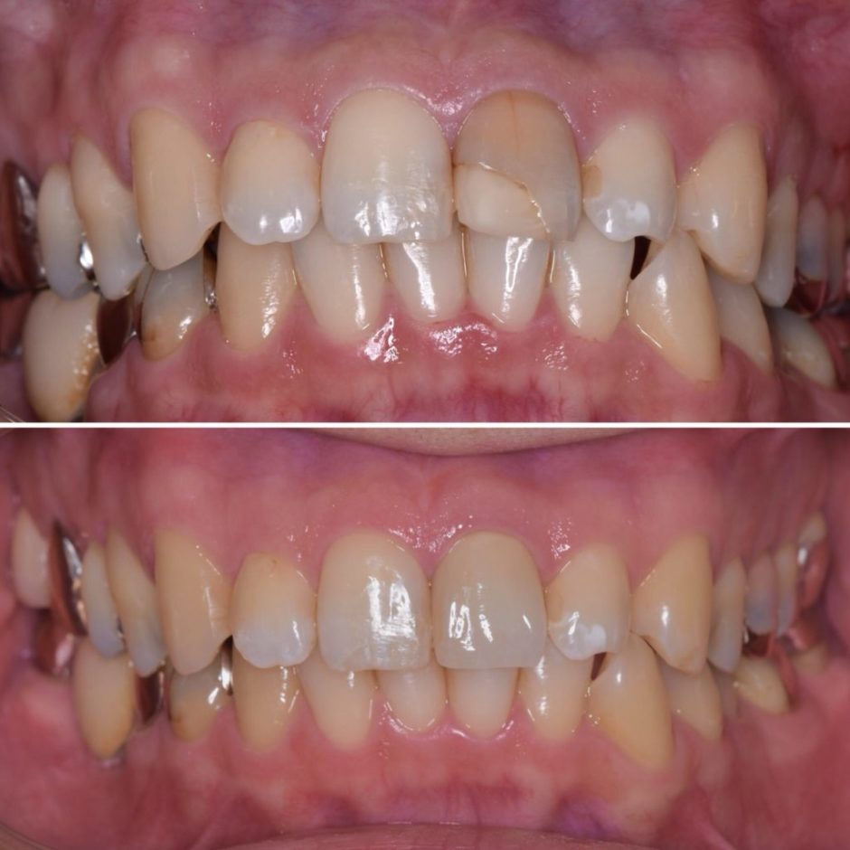
こちらは上の前歯をジルコニアクラウンに変えられた患者様の写真です。

写真向かって右の一番前の歯には、もともと大きな保険の詰め物がしてありました。
何度もその部分が欠けてしまい、詰め直していましたが欠けない歯にしたい!ということでジルコニアクラウンに変えました♪
色だけで無く、形も反対側の歯と似せることで、より自然な仕上がりになっています。
歯並びのガタツキを直したい、今入っている銀歯を白くしたい、もっと綺麗な被せ物に変えたい、とおっしゃる患者様も多くいらっしゃいます。
審美治療にご興味のある方、ご相談のご予約お待ちしております(^^)






