歯列矯正が予定よりも遅れている理由

歯列矯正が予定よりも遅れている理由

歯列矯正が予定よりも遅れている理由

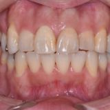
昨年6月から歯列矯正をはじめました、事務の吉田です。

同時期に開始した20代スタッフとの歯列が整っていくスピードの差が歴然であることに気付きました。

原因は顎間ゴムを装着していない時が多いこと(食事前に一旦外し、食事後に再装着を忘れる)や、矯正装置の調整日の間隔は3週間程がベストだが、2ヶ月あけることがあったり(忙しいからと自分に言い訳)したのが理由です。

あとは年齢。「若い程、歯の動きが早い傾向にある。」とのこと。
(現在36歳になりますが、20代までに歯列矯正を終わらせておけば良かったかなと…)

今後は顎間ゴムを忘れず、調整日の間隔を短くして様子をみてみます。

歯列矯正治療は分割支払いをしてでも 20代までに終わらせておくべきだったかなと改めて思います。
しかし前歯が動いて出っ歯が無くなったり、少しずつ抜いたスペースが閉じてくると、予定は遅れていますが歯列矯正を、はじめて良かったと思っています。

05 名古屋で歯列矯正をお考えなら名駅アール歯科・矯正歯科